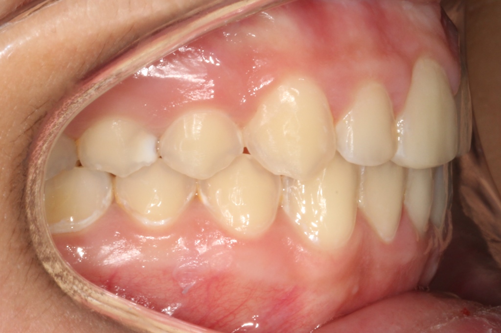
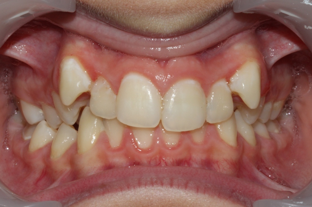
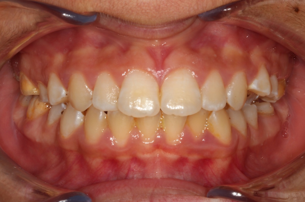
Exemples de traitements

Cas 1

Avant Après
Avant Après
Avant Après

Cas 2

Avant Après

Cas 3

Avant Après
Avant Après
Avant Après

Cas 4

Avant Après
Avant Après
Avant Après

Cas 5

Avant Après
Avant Après
Avant Après

Cas 6

Cas 7

Avant Après
Avant Après
Avant Après

Cas 8

Avant Après
Avant Après
Avant Après

Cas 9

Avant Après
Avant Après
Avant Après
Avant Après
Avant Après

Cas 10

Avant Après
Avant Après
Avant Après

Cas 11

Cas 12

Avant Après

En cas d'urgence :

En cas d’urgence, veuillez envoyer un e-mail au contact@drgales-orthodontie.lu Dr Gales vous répondra dans les plus brefs délais. 

Pour les urgences pendant le weekend et les jours fériés, un service de garde est organisé par l’association des Médecins et Médecins Dentistes. Veuillez contacter le 112.

Urgences jours ouvrés :
Week-end & jours fériés :